𝐒𝐄𝐏𝐓𝐈𝐄̀𝐌𝐄 𝐌𝐈𝐒𝐒𝐈𝐎𝐍 𝐇𝐔𝐌𝐀𝐍𝐈𝐓𝐀𝐈𝐑𝐄 𝐃𝐄 𝐂𝐇𝐈𝐑𝐔𝐑𝐆𝐈𝐄 𝐌𝐀𝐗𝐈𝐋𝐋𝐎-𝐅𝐀𝐂𝐈𝐀𝐋𝐄
Après 6 missions humanitaires et plus de 𝟕𝟎𝟎 𝐩𝐚𝐭𝐢𝐞𝐧𝐭𝐬 𝐩𝐫𝐢𝐬 𝐞𝐧 𝐜𝐡𝐚𝐫𝐠𝐞, l’Association Les Enfants du Noma est de retour en Guinée pour 𝐮𝐧𝐞 𝐧𝐨𝐮𝐯𝐞𝐥𝐥𝐞 𝐦𝐢𝐬𝐬𝐢𝐨𝐧 𝐝𝐞 𝐜𝐡𝐢𝐫𝐮𝐫𝐠𝐢𝐞 𝐦𝐚𝐱𝐢𝐥𝐥𝐨-𝐟𝐚𝐜𝐢𝐚𝐥𝐞.
𝐃𝐮 𝟏𝟏 𝐚𝐮 𝟐𝟑 𝐣𝐚𝐧𝐯𝐢𝐞𝐫 𝟐𝟎𝟐𝟔, 𝐞𝐧 𝐩𝐚𝐫𝐭𝐞𝐧𝐚𝐫𝐢𝐚𝐭 𝐚𝐯𝐞𝐜 𝐥𝐚 𝐅𝐨𝐧𝐝𝐚𝐭𝐢𝐨𝐧 𝐉𝐢𝐝𝐚 𝐊𝐡𝐚𝐳𝐚𝐥, 𝐥’𝐎𝐍𝐆 𝐀𝐆𝐔𝐈𝐏𝐑𝐎𝐂𝐎𝐌 𝐞𝐭 𝐥’𝐇𝐨̂𝐩𝐢𝐭𝐚𝐥 𝐍𝐚𝐭𝐢𝐨𝐧𝐚𝐥 𝐃𝐨𝐧𝐤𝐚, 𝐝𝐞𝐬 𝐜𝐡𝐢𝐫𝐮𝐫𝐠𝐢𝐞𝐧𝐬 𝐠𝐮𝐢𝐧𝐞́𝐞𝐧𝐬 𝐞𝐭 𝐟𝐫𝐚𝐧𝐜̧𝐚𝐢𝐬 𝐫𝐞́𝐚𝐥𝐢𝐬𝐞𝐫𝐨𝐧𝐭 𝐝𝐞𝐬 𝐜𝐨𝐧𝐬𝐮𝐥𝐭𝐚𝐭𝐢𝐨𝐧𝐬 𝐞𝐭 𝐢𝐧𝐭𝐞𝐫𝐯𝐞𝐧𝐭𝐢𝐨𝐧𝐬 𝐠𝐫𝐚𝐭𝐮𝐢𝐭𝐞𝐬.
𝐋𝐞𝐬 𝐩𝐞𝐫𝐬𝐨𝐧𝐧𝐞𝐬 𝐬𝐨𝐮𝐟𝐟𝐫𝐚𝐧𝐭 𝐝𝐞 𝐭𝐮𝐦𝐞𝐮𝐫𝐬 𝐟𝐚𝐜𝐢𝐚𝐥𝐞𝐬, 𝐝𝐞 𝐛𝐞𝐜-𝐝𝐞-𝐥𝐢𝐞̀𝐯𝐫𝐞 𝐨𝐮 𝐝’𝐚𝐮𝐭𝐫𝐞𝐬 𝐩𝐚𝐭𝐡𝐨𝐥𝐨𝐠𝐢𝐞𝐬 𝐝𝐞 𝐥𝐚 𝐟𝐚𝐜𝐞 peuvent se présenter pour une consultation gratuite 𝐥𝐞 𝐝𝐢𝐦𝐚𝐧𝐜𝐡𝐞 𝟏𝟏 𝐣𝐚𝐧𝐯𝐢𝐞𝐫 𝟐𝟎𝟐𝟔 𝐚̀ 𝐩𝐚𝐫𝐭𝐢𝐫 𝐝𝐞 𝟕𝐡 aux Consultations Externes Spécialisées du CHU Donka.

Deux jours déjà en Guinée avec l’association Les Enfants du Noma![]()
Nous sommes arrivés il y a deux jours par avion, le début d’une nouvelle mission, pleine d’émotions et d’adaptation.
Le dimanche a été consacré entièrement aux consultations. Une journée intense durant laquelle nous avons reçu environ 130 patients. Beaucoup d’enfants, des pathologies variées, des histoires lourdes parfois, mais surtout des rencontres marquantes et une immense motivation pour la suite.
Puis aujourd’hui, place au bloc opératoire.
Une longue journée, de 8h à 22h, pour commencer à opérer les patients vus la veille, selon leurs différentes pathologies. Premiers pas au bloc ici, découverte des conditions locales, rencontres avec les équipes sur place, et adaptation progressive au lieu, au rythme, à la réalité du terrain.
Ces trois premiers jours ont été intenses : installation, consultations, premiers blocs, échanges avec les locaux et acclimatation à la Guinée.
L’aventure ne fait que commencer ![]()
![]()










𝐌𝐈𝐒𝐒𝐈𝐎𝐍 𝐇𝐔𝐌𝐀𝐍𝐈𝐓𝐀𝐈𝐑𝐄 𝐃𝐄 𝐂𝐇𝐈𝐑𝐔𝐑𝐆𝐈𝐄 𝐌𝐀𝐗𝐈𝐋𝐋𝐎-𝐅𝐀𝐂𝐈𝐀𝐋𝐄 : 𝐃𝐄́𝐌𝐀𝐑𝐑𝐀𝐆𝐄 𝐃𝐄𝐒 𝐀𝐂𝐓𝐈𝐕𝐈𝐓𝐄́𝐒 𝐂𝐇𝐈𝐑𝐔𝐑𝐆𝐈𝐂𝐀𝐋𝐄𝐒
Les activités chirurgicales de la mission humanitaire de chirurgie maxillo-faciale ont démarré hier, lundi, et se poursuivront jusqu’au 21 janvier.
Plus de 70 patients bénéficieront de soins chirurgicaux spécialisés entièrement gratuits dans le cadre de cette mission.
Au-delà de la prise en charge des patients, cette initiative constitue également une véritable opportunité de renforcement des capacités du personnel chirurgical du service de chirurgie maxillo-faciale, en vue de permettre, au terme de la mission, une maîtrise accrue des interventions complexes de la face.
Cette mission est mise en œuvre avec l’appui du CHU Donka, de AGUIPROCOM, de l’ONG Les Enfants du Noma et de la Fondation Jida Khazaal.









Nous avons commencé les blocs opératoires et nous nous sentons de plus en plus à l’aise chaque jour.
Nous avons actuellement opérés 22 patients.
Aujourd’hui, une grande première lors d’une mission humanitaire : la réalisation d’un lambeau libre en collaboration avec l’équipe locale, une vraie étape, qui n’avait jamais été réalisée jusqu’ici.
Tout s’est déroulé parfaitement et dans une super dynamique d’équipe.
On profite encore pleinement du séjour, de l’expérience et de tout ce que cette mission nous apporte.








Cette première semaine touche déjà à sa fin et elle a été très riche.
Environ 30 patients ont pu être opérés au sein de l’association EDN ![]()
Grâce à la coopération de tous, les interventions se sont très bien déroulées, dans une ambiance toujours aussi positive et solidaire.
Demain, nous profiterons d’une journée de repos bien méritée au milieu de ces 15 jours de mission, avant de reprendre dès lundi pour la suite.










Nous clôturons cette mission avec un total de 60 interventions, dont 8 réalisées sous locale. Les sourires des enfants ont été une source constante d’énergie et de motivation, nous permettant de maintenir ce rythme particulièrement soutenu.
Nous adressons nos plus sincères remerciements aux équipes locales du bloc opératoire, du service de maxillo facial ainsi qu’à la direction, qui nous ont accompagnés tout au long de cette mission.
Notre gratitude va également aux équipes de chirurgie et d’anesthésie françaises, belge, guinéennes, sénégalaises, ivoiriennes et maliennes pour leur engagement et leur professionnalisme.
Enfin, un remerciement tout particulier à Mary et Claude, dont la disponibilité et l’ingéniosité ont permis de trouver une solution à chacun de nos petits défis quotidiens.
Un grand merci à la fondation Jida Khazaal et à la fondation Air France sans qui rien ne serait possible ![]()










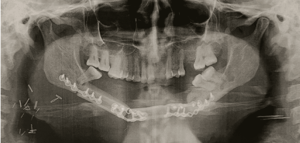
La première reconstruction par lambeau micro-anastomosé réalisée en Guinée !
Ça y est, nous l’avons fait ! Et ce n’est pas rien car jusqu’ici, nous nous refusions à franchir le pas malgré les nombreux patients vus en consultation nécessitant ce type de chirurgie, et ceci essentiellement pour des raisons de manque d’un plateau technique de qualité pour la surveillance post-opératoire.
Plusieurs facteurs, comme toujours, ont permis cette première :
– Le déplacement des missions au CHU de Donka offrant un plateau technique de grande qualité ;
– La qualité des échanges avec l’équipe d’anesthésie qui s’est sentie prête ;
– Le fait de partir avec une équipe fournie, ce qui a permis une surveillance sur place par les membres de l’équipe 24h/24 pendant 3 jours ;
– Le vif intérêt verbalisé par le Pr Raphiou Diallo, ainsi que sur le plan pédagogique par les collègues chirurgiens maliens, ivoiriens et sénégalais ;
– Le fait d’avoir fait 6 lambeaux de ce type, avec succès, l’année passée à l’occasion d’une mission en Ukraine sur les blessés de guerre.
Pour cette première (à la fois en Guinée et à la fois par Enfants Du Noma), le cas a été bien choisi, sans comorbidité associée, et de façon à ne pas être confronté à des soucis de dénutrition ou d’anémie. Il s’agissait d’une patiente guinéenne de 42 ans, qui avait déjà bénéficié à Conakry il y a un an de l’exérèse d’un très volumineux améloblastome (tumeur bénigne) de la mandibule par le Pr Rahiou Diallo. La perte de substance osseuse avait été maintenue par une plaque métallique, mais sans apport osseux. Cette plaque avait fini par s’exposer dans la bouche de la patiente, et il fallait donc recourir à une reconstruction osseuse.

L’intervention a consisté en le prélèvement du péroné droit (fibula) de la patiente, avec de la peau de la jambe pour reconstruire la peau du menton, et surtout avec son artère et ses veines qui ont été « rebranchés » (micro-anastomoses) sous microscope à des vaisseaux au niveau du cou, pour que tous ces tissus soient revascularisés. Il a fallu 2 morceaux de péroné pour reconstruire la forme de la mâchoire, un pour le menton, et l’autre pour la branche horizontale droite.

Dans les suites de ce type de reconstruction, la surveillance doit être stricte, avec des objectifs stricts concernant notamment la tension artérielle et le taux d’hémoglobine, de façon à ce que les micro-vaisseaux rebranchés ne se « bouchent » pas par un thrombus, ce qui aurait nécessité une ré-intervention en urgence.
Rien de tout cela n’est heureusement survenu. Les suites ont été extrêmement simples et la patiente a été tellement rassurante sur l’ensemble des critères de surveillance, que nous avons autorisé sa sortie dès le 7ieme jour post-opératoire.
Nous comptons donc poursuivre dans cette dynamique, et refaire l’année prochaine 1 ou 2 nouveaux lambeaux de ce type. Malgré cette avancée, il restera des patients avec des situations complexes et pour lesquels une prise en charge sur place à Conakry ne sera pas possible. Il faudra donc en parallèle toujours organiser des rapatriements sanitaires pour des reconstructions au CHU de Caen.
Hervé Bénateau et l’ensemble des membres de la mission EDN 2026.











